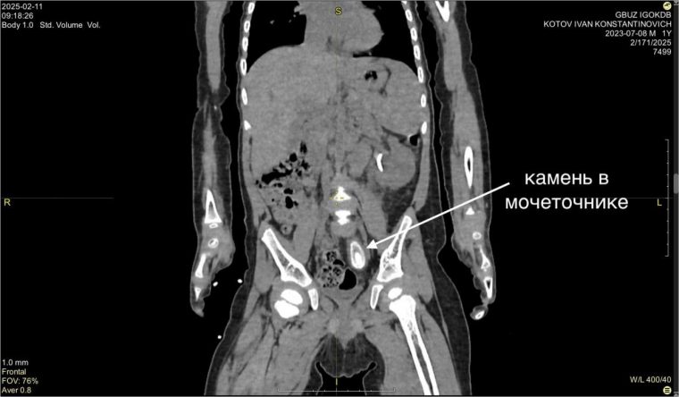
Камень в 3 см удалили из мочеточника маленького жителя Усть-Кута

Сложную операцию провел знаменитый на весь мир иркутский хирург, главный врач Иркутской областной детской клинической больницы Юрий Козлов.

post-22771 thumbnail
  • 12:05
  • 27.03.2025
  • ОбществоУсть-Кут
  • 0
  • 713

Первые признаки заболевания жительница Усть-Кута обнаружила у сына Вани еще в декабре прошлого года. На обследовании в Иркутске поставили диагноз — большой камень в нижней трети левого мочеточника размером около 3 на 1,5 см и вызванный им блок почки.

Размер камня удивил медиков — это нетипично для таких маленьких пациентов.

— Попытка внутрипросветного лечения была безуспешна — устье мочеточника не пропускало даже самую маленькую оптическую систему цистоскопа. После месяца непростого лечения с использованием нескольких антибиотиков была выполнена операция с применением нашего излюбленного подхода без разрезов — лапароскопии, — рассказывает Юрий Козлов.

Операция прошла успешно, и сегодня Ваня чувствует себя прекрасно.

Администрация УКМО

Данное сообщение (материал) создано и (или) распространено некоммерческими организациями и (или) средствами массовой информации, требующими полной отмены законодательства об иностранных агентах

Вы сможете добавить комментарий после авторизации

Присоединяйтесь! Мы в социальных сетях:

Вам также может быть интересно:

post-36071 thumbnail

#Топ новостькоррупцияПолитикаУсть-КутЭкономика

Главная невыполненная обещалка ИНК в Усть-Куте: вместо нового микрорайона – два недостроя

Настало время рассказать о главном нереализованном и затянувшемся проекте ИНК При составлении пресловутого мастер‑плана обязательства ИНК по вложениям в Усть‑Кут выглядели априори расплывчатыми, а вот с этим проектом всё было твердо и четко, как сказал бы Борис Ельцин. Речь пойдёт о новом микрорайоне Усть‑Кута на берегу Лены. Даже одна эта стройка могла бы стать доказательством социальной ответственности компании и парировать все аргументы, утверждающие, что ИНК не вкладывается в город. В 2024 году мы всей съёмочной группой приехали на территорию этого микрорайона. Честно, всё смотрелось масштабно и звучало красиво.
«Здесь будет 13 жилых зданий, 5 тысяч коммерческих зданий: 2 детсада, 1 школа. Здесь у нас будет микрорайон полностью со всеми удобствами и инфраструктурой», заявил нам тогда генподрядчик.
И всю эту масштабность планировали начать сдавать уже в 2024 году.
«К концу года рабочие приступят к утеплению фасада и отделке. На 2024 год также запланирована прокладка теплотрассы для подачи тепла в дома».
А это уже железобетонный аргумент, ведь конкретная дата сдачи первой очереди стояла на 2024 год, об этом сообщается и на официальном портале правительства региона.
«Проект будет реализовываться по 4 этапам строительства. Прохождение экспертизы проектной документации планируется до марта 2022 года, окончание строительства домов 1‑й очереди запланировано к 2024 году. Благодаря возведению нового жилого района специалисты Иркутского завода полимеров смогут переехать в Усть‑Кут вместе с семьями».
Но что мы видим сегодня? А то, что даже первые два дома этого микрорайона ИНК не может сдать. Причина, могу предположить, кроется в проблемах с финансированием. При этом завод полимеров запущен, следовательно, тысячи сотрудников на нём уже работают. А где они сейчас живут? Ответ очевиден: часть из них живёт в самом Усть‑Куте. Квартиры для них покупает и снимает ИНК, следовательно, можно предположить, что в городе цены на жильё продолжают оставаться на высоком уровне, дербаня карманы горожан, не работающих на ИНК. Но помимо создания комфорта для сотрудников, микрорайон планировался как новая общегородская локация с кафе, ресторанами и прогулочными зонами. И это был главный «подарок» жителям города от ИНК за все страдания, причинённые в ходе строительства завода. Однако завод запущен, а подарка ищи‑свищи. Главное здесь — это социальные объекты. В плане они были, и строить, конечно, их должны были за счёт бюджета. Тысячи сотрудников ИНК живут в Усть-Куте и увеличивают нагрузку на существующие детские сады и школы. А где же обещанные два новых детских сада и школа? И что будет с ними, учитывая, что правительство Иркутской области ввело мораторий на строительство новых социальных объектов из-за кризиса? То есть завод есть, а школ и детских садов не будет?! Хотя все это время подрядчики и сотрудники ИНК нагружали больницы так, что местным жителям приходилось занимать очередь аж в 5 утра. Но что говорить про микрорайон целиком, если ИНК даже в мелочах показывает своё отношение к городу. Так, местные жители делятся информацией, что убрав снег с крыши своей штаб‑квартиры в Усть-Куте, руководство ИНК даже не удосужилось вывезти его на официальный полигон, что требовали и местные власти, и жители в чатах. В итоге ИНК‑шный снег тает и топит улицы города, превращая их в сибирскую Венецию. С другой стороны, какая разница, если ни Буйнову, ни Гинзбургу по ним не ездить. Итог Масштаб беды в Усть-Куте колоссальный. Поэтому, чувствуя свою ответственность перед Усть-Кутом, буду и дальше информировать вас, как ИНК ведёт себя в отношении города и его жителей. Уже скоро расскажу вам про политические перипетии в Усть‑Куте и, возможно, в ближайшее время мы отправимся в северный город на Лене, чтобы лично пообщаться с местными жителями, депутатами и предпринимателями. Ждите продолжения!   @stepanovnm  
887
0
23.03.2026 в 15:54
post-36041 thumbnail

#Топ новостьПолитикаУсть-Кут

Время подонков. В Усть-Куте новый заведующий отделом образования (АРХИВ 2020)

Мэр Усть-Кутского района Сергей Анисимов, подписал распоряжение о назначении заведующим отделом образования района Александра Малышева. К обязанностям Малышев должен приступить 7 декабря Слухи  о скандальном назначении Малышева заведующим ГОРОНО, ходили давно, но подтвердились только сегодня. В самом отделе образования новость признали аутентичной, но сказали, что еще не видели официального документа. Мэр района Сергей Анисимов, на вопрос о назначении нашему корреспонденту устно отвечать отказался и попросил письменный запрос. На сайте мэри тоже пока нет никаких распоряжений. Тем не менее, напомним, почему это назначение скандальное и по сути является плевком на общественное мнение горожан. Чем же известен Александр Малышев в нашем городе? Кроме того, что в данное время он работает трудовиком в школе 6 и является депутатом городской Думы и председателем комиссии по регламенту и депутатской этике Думы, Александр Малышев при главе города Кривоносенко, был председателем местной ячейки «Единой России» и директором школы номер 6. Этих постов он лишился, когда 1 июня 2017 года, в день Защиты детей, находясь за рулем в состоянии алкогольного опьянения в компании своей секретарши, пытался уехать в строну рэбовских дач, но попал в ДТП. К несчастью Малышева, в это время мимо проходили неравнодушные горожане, которые документально зафиксировали разнузданное состояние пьяного педагога. Мы писали об этом: «Сегодня, 1 июня, днём по дороге в микрорайон РЭБ директор школы №6 и по совместительству командир устькутских единороссов Александр Малышев за рулём «Хонды» совершил ДТП. Со слов очевидцев, от Малышева сильно разило алкоголем. Сотрудники ГИБДД отвезли мужчину на освидетельствование, а его спутница доставлена в ЦРБ.» Тогда полиция однозначно прокомментировала произошедшее и оценку этому дала заведующая ГОРОНО Ольга Зуева: По информации, предоставленной МО МВД «Усть-Кутский», 1 июня 2017 года,  водитель, находясь в состоянии алкогольного опьянения, допустил съезд с проезжей части и наезд на железобетонное ограждение. Начальник управления образованием О.Н. Зуева прокомментировала инцидент: «Мое личное мнение о данном происшествии, несомненно, отрицательное. На внеочередном заседании совета директоров образовательных учреждений мы обсудим вопрос и примем решение о мере воздействия на А.В.Малышева и его дальнейшей работе в системе образования», — сказала Ольга Николаевна. – Такие проступки не должны влиять ни на имидж района, ни на имидж школы, носящей имя Героя России». Наши корреспонденты будут следить за развитием событий. После этого история не закончилась и выждав два месяца, Малышев подал в суд иск о восстановлении водительских прав. В суде он попытался доказать, что за рулем был не он, а его 21-летний сын и лжесвидетелями в процессе участвовали кроме сына, двоюродный брат Малышева, учитель трудов шестой школы Александр Измайлович Красноштанов и дама, попавшая вместе с Малышевым в ДТП.  ( (ДЕЛО № 12-94/2017). В День защиты детей директор школы №6 имени Героя России Андрея Шерстянникова Александр Малышев попал в резонансное ДТП. После выяснилось, что мужчина был пьян и в результате лишен водительских прав. 2 августа он обжаловал соответствующее решение в городском суде. (ДЕЛО № 12-94/2017) Читатели с удивлением спросят, как такое возможно? Оказывается, для депутатов возможно, если в суде сказать, что за рулем был не Малышев, а его сын, например. А то, что сразу после ДТП в луже то ли мочи, то ли антифриза лежит именно Малышев-старший, — это фотошоп и иллюзия. Кстати свидетел по делу идет родственник Малышева, депутат районной Думы Александр Красноштанов. Именно так пытается преподнести ДТП человек, который все еще числится директором школы и в силу своих должностных обязанностей должен учить наших детей только хорошему и, в том числе, говорить правду. Сам Малышев не считает, что совершил какой-то из ряда вон выходящий поступок и после публичного покаяния по местному телеканалу собирается снова стать депутатом городской Думы После общественного внимания к резонансному делу и широкого обсуждения в социальных сетях, Малышев отозвал иск, так как на судебные заседания стали ходить обычные неравнодушные горожане и пресса, которые документально фиксировали весь позор лжесвидетельства. Вот как это происходило: 17 августа в 15:30 минут началось судебное заседание в Усть-Кутском городском суде по заявлению гражданина Малышева, обжаловавшего постановление ГИБДД о лишении его водительских прав за совершение правонарушения, предусмотренного статьей 12.8 части 1 КоАП РФ (Управление транспортным средством водителем, находящимся в состоянии опьянения, передача управления транспортным средством лицу, находящемуся в состоянии опьянения). К назначенному времени в зал судебных заседаний прибыл странно одетый мужчина. Сандали оливкового цвета были надеты на разного тона тёмные носки под брюки от строгого костюма. Верх закрывала куртка по моде конца 90-х годов поверх рубашки. Это и оказался заявитель Малышев. Вид сельского интеллигента вызывал скорее сочувствие, чем осуждение, но оно моментально улетучилось с самого начала процесса. Заявитель никак не хотел, чтобы во время судебного процесса присутствовал корреспондент «УК24», и всячески протестовал против огласки деталей судебного разбирательства, а они, как оказалось, были очень интересными. И мы не можем не ознакомить с ними наших читателей. Судья разрешила корреспонденту присутствовать на процессе как слушателю, но запретила вести аудиозапись и фотосъемку. Тем не менее, с первых деталей разбирательства стало ясно, что директор школы №6 Усть-Кута имени Героя России Андрея Шерстянникова, а по совместительству депутат Думы города и кандидат в депутаты Думы на осенних выборах Александр Малышев, совершивший в День защиты детей резонансное ДТП в состоянии алкогольного опьянения в компании своей секретарши, передумал признавать себя виновным, несмотря на публичное покаяние по местному ТВ, и решил отменить постановление о лишении его водительских прав. Для этого Александр Викторович придумал историю, что это не он находился за рулем автомобиля во время ДТП, а его сын 1997 года рождения, не имеющий водительских прав. А он просто спасал его от ответственности. Вот, вкратце, такую версию событий представил на рассмотрение судьи Малышев. Для этого с ним в суд пришла целая толпа лжесвидетелей, включая двоюродного брата Малышева, а по совместительству депутата районной Думы и тоже бывшего директора 6-й школы Александра Красноштанова в сопровождении адвоката. Компания все же не предусмотрела все тонкости судебного разбирательства. В частности, они, судя по всему, обговорили общие детали, а вот про мелочи совсем забыли. И именно на мелочах начали плыть во время допроса. К тому же вызывали их в зал судебных заседаний по одному, и они не знали, что сказал предыдущий свидетель. Вот тут и начался главный цирк со лжесвидетельством. Малышев обосновал наличие алкоголя в крови рюмкой коньяка, выпитой в квартире коллег после праздника. А вот его секретарь оказалась более правдивой и под протокол заявила о большем количестве водки, выпитой в помещении школы. Кто, куда и зачем ее вез после застолья, и как она оказалась в больнице, женщина не помнит. Малышев также заявил, что вызвал машину и после аварии никому не звонил, а вот его братец наоборот показал, что разговаривал с Малышевым несколько раз. Нахождение на месте аварии с перевязанной головой директор школы объяснил природной смекалкой и обматыванием головы бинтами еще дома до выезда на место ДТП. Свидетель с трудной фамилией вообще пытался убедить судью, что ДТП произошло в августе, и он лично видел там сына Малышева. И только после вмешательства адвоката исправил дату на 1 июня. Адвокат также пресек попытку рассматривать фото с места аварии, так как неизвестно, кто и где его снимал, и нет заключения экспертизы, что изображен на нем именно заявитель. Вообще, столько вранья в одном месте корреспонденту не доводилось слышать уже давно, и даже судье было стыдно от таких явных несоответствий в пояснениях свидетелей. В свои 22 года корреспондент еще хорошо помнит школьные годы и то отношение к учителям, которые она испытывала. Педагоги казались ей до самых старших классов людьми почти святыми, которые даже если и ходят в туалет, то только бабочками. А то, что они могут врать и изворачиваться, — это что-то из области фантастики и точно не про наших учителей. И вот теперь реальность рисует перед ней трех взрослых людей, двое из которых работали директорами школы, которые ведут себя омерзительным образом, больше напоминая не педагогов, а наперсточников. Детские иллюзии разбиты, и, как теперь оказалось, даже среди учителей есть пройдохи и аферисты. На какую аудиторию был рассчитан этот цирк со лжесвидетелями, мы не знаем, но вполне возможно, что какие-то договоренности по отмене постановления существовали, так как в суде отсутствовали сотрудники ГИБДД, составлявшие протокол. Кроме того, во время судебного заседания свидетелей не знакомили под роспись об ответственности за дачу ложных показаний, и не было представителя ГОРОНО. Если бы не присутствие корреспондента «УК24″на заседании, то, вполне возможно, все сегодня завершилось бы тихо и мирно без протестов и возражений. На самом деле все очень печально, ведь эти врунишки — наши сегодняшние депутаты. Они врут в суде, они врут нам по любому поводу и преследуют только свои цели.  Наши читатели наверное могут задаться вопросом, как вообще возможно такое назначение и о чем думает недавно избранный мэр, совершая такие неадекватные и явно провокационные шаги? Ответ на этот вопрос может быть только один: мэру Усть-Кутского района Сергею Анисимову, плевать на общественное мнение и свою репутацию  Скорее всего, чиновник не собирается больше никуда и никогда баллотироваться и после выполнения локальных задач, ради которых он пришел в мэрию, карьера публичного политика для него закончиться. Кроме этого, варяг есть варяг и никаких привязок к нашему району, кроме каких-то личных знакомств у него нет. Именно из-за личных отношений с Александром Красноштановым, под явное влияние которого и попал Сергей Анисимов, происходят эти скандальные и репутационно опасные назначения. Конечно жаль, что стремясь дать шанс нашему району и изменить его к лучшему, мы все допустили ошибку, выбрав мэром района явную марионетку, сильно зависимую от чужого мнения. И вдвойне жаль, что это мнение не жителей нашего района. Кстати, в областном Министерстве образования, нам не подтвердили согласование Александра Малышева на должность заведующего ГОРОНО Усть-Кутского района. Этот вопрос по словам Светланы Муст, начальника отдела государственной и гражданской службы и кадровой работы,  еще министерством не рассматривался, так как соответствующие документы к ним еще не поступали.   АРХИВ "УК24"  2020 год  
894
0
23.03.2026 в 05:44
post-35964 thumbnail

#Топ новостькоррупцияКриминалПолитикаРегион38Усть-Кут

Сегодня этапом из Братского СИЗО в Усть-Кут привезут чиновника-педофила. Его уголовное дело трещит по швам

Задержанного за педофилию заместителя мэра Усть-Кутского района по сельскому хозяйству  Михаила Тышкивского, сегодня привезут в ИВС города для продления ареста. Прошлая санкция на 2 месяца, истекает на днях Похоже уголовное дело в отношении заместителя мэра по сельскому хозяйству Михаила Тышкивского, начинает буксовать. Взяв резкий старт, следователи СК быстро раскрыли одно убийство 2005 года, но Усть-Кутский суд закрыл его за истечением сроков давности, так как по мнению суда это было не убийство вовсе, а причинение тяжких телесных повреждений, повлекших смерть потерпевшего. Это существенная разница, так как срок давности по телесным повреждениям, составляет всего 10 лет. Сразу после этого забуксовали и остальные дела по убийствам, так как судя по всему, педофилу кто-то активно помогает сверху. Дела по старым убийствам в Янтале и Ручье,  даже не расследуют, а просто поставили на паузу. Что касается изнасилований, то следователи за них даже браться не стали, так как по ним тоже вышел срок давности. Из-за этого сыщики не стали опрашивать потерпевших, которых братья Тышкивские изнасиловали, когда те еще были несовершеннолетними. Там подтвержденный свидетельскими показаниями список, составлен 20 фамилий и некоторых нет уже в живых. В том числе и одного милиционера, который застрелился сразу после изнасилования, но перед этим успел все рассказать своей маме. Что касается самого акта педофилии, то это был длительный по времени процесс, который начался когда жертве было еще 14 лет, а сейчас ему уже 16. Более того, у следователей нет в наличии потерпевшего, а есть только одна видеозапись и теперь адвокаты педофила, выстаивает версию защиты основанную на том, что якобы во время прелюдии и однополого акта нетрадиционной любви, извращенец Тышкивский не знал о реальном возрасте своего зазнобы. Если адвокатам поможет "голубое лобби" из Иркутского ГУВД, о котором мы не так давно писали в статье " ГУВД Иркутской области под властью геев? ", то Михаила Тышкивского вообще могут выпустить из под стражи. Точно так же, как неделю назад назад выпустили под чистую его подручного по убийствам в Янтале. Мы тоже писали об этом в статье "В Усть-Куте суд отпустил домой серийного убийцу и подручного педофила" Все эпизоды того, как Тышкивский разваливал уголовные дела своих подручных в Янтале и Ручье, в том числе и по убийствам, следователи тоже не рассматривают, так как по ним есть сроки давности. В конце этой громкой истории может остаться всего один уголовный эпизод, связанный с халатностью из-за собак. По нему по честному нужно судить конечно мэра, а не Тышкивского, но это страховка для следствия, чтобы не было безосновательного ареста. Мы конечно же напишем обращение в главное управление СК России и пожалуемся на ситуацию, но что то подсказывает нам, что дело по Тышкивскому хотят спустить на тормозах и замять. Он же хоть и пид@рас, но это близкий им пид@рас, вернее даже их пид@рас, а  своих они стараются не бросать. Ну а на мнение народа им откровенно наплевать. Подумаешь, людей убивали и насиловали пачками, так сроки давности по этим эпизодам уже прошли, че зря вспоминать? Теперь убийцы и насильники чистые перед законом люди и им даже родственники убитых, не могут предъявить юридические претензии. Вот такой вот финал тоталитарной диктатуры, на примере конкретно нашего маленького города... Ариэль Эмет Специально для «УК24» фото : из открытых источников  Канал в Телеграмм Наш Инстаграм Страничка в Одноклассник  
6901
0
19.03.2026 в 05:56
post-35923 thumbnail

#Топ новостьКриминалПроисшествияУсть-Кут

В Усть-Куте ИНК пытается свалить вину на погибшего рабочего

Смерть рабочего на Ярактинском нефтегазоконденсатном месторождении в Усть-Кутском районе,  ИНК пытается преподнести как вину самого работника Жители Усть-Кутского района уже давно знают, что более мерзкой и подлой компании чем ИНК, в нашем районе просто нет. Вся их деятельность в районе, направленна исключительно во вред местному населению и все вроде как к этому привыкли. Тем не менее, ИНК в очередной раз пробило дно в скотском отношении даже к тем людям,  которые на нее работают. Погибшего при зачистке емкостей 11 марта на Ярактинском нефтегазоконденсатном месторождении 31-летнего рабочего, ИНК объявило виновным в собственной смерти. Он по мнению компании, самостоятельно и ни у кого не спрашивая, не имея допуска и распоряжения начальства, по собственной инициативе, залез в емкость и начал ее чистить, после чего погиб. Правда до этого он якобы успел без разрешения компании, зачистить аж три емкости. Вот как официально прокомментировала трагедию, пресс-служба ИНК: «...11 марта сотрудник подрядной организации ООО «ГТС» приступил к выполнению работ, не имея допуска, без получения инструктажа и распоряжения руководителя, после чего потерял сознание. Пострадавшему была оказана реанимационная помощь медицинскими работниками, однако спасти его не удалось. В настоящее время создана комиссия для расследования причин и обстоятельств происшествия. Компания оказывает полное содействие правоохранительным органам...» При этом компания умалчивает, что трагедий могло быть две, так как когда рабочий потерял сознание внутри емкости, вытаскивать его направили еще одного человека, который тоже чуть не погиб, но его успели откачать. Он кстати, сейчас находится в больнице с отравлением парами нефтепродуктов. Уголовное дело Усть-Кутский межрайонный следственный отдел СУ СК России по Иркутской области, возбудили только после публичной огласки инцидента, а до этого смерть человека на объекте ИНК,  пытались тупо замять, обвинив погибшего рабочего в собственной смерти. Тем более такая формулировка, позволяет ИНК впоследствии не оплачивать моральный ущерб родственникам погибшего. У нас даже при желании не получается, описать ситуацию цензурными выражениями.
Ариэль Эмет Специально для «УК24» на фото : владелец ИНК Николай Буйнов Канал в Телеграмм Наш Инстаграм Страничка в Одноклассник  
1929
0
17.03.2026 в 22:26